CW-02-BANNER CEPEI IMPLANTOLOGIA

IMPLANTOLOGÍA

La IMPLANTOLOGIA es una especialidad de la odontología que permite reemplazar las piezas dentales ausentes mediante la inserción de implantes, dispositivos de titanio, que actúan como raíces dentales. Mediante un proceso biológico denominado oseointegración los mismos los implantes se integran al hueso del paciente.   

SOFT TISSUE INTEGRATION, IMMEDIATE FUNCTION & FLAPLESS

Los dientes se sostienen unos a otros en el arco dental. La falta de un solo diente crea un problema serio, porque se rompe la cadena de sostén y en caso   de no reemplazarse -además del inconveniente estético - los restantes tienden a desviarse hacia el espacio vacío.

La solución a la falta de piezas dentarias se resuelve mediante procedimientos de microcirugía que permiten la reposición del diente ausente con una solución estética que lo hace imperceptible, aplicando los conceptos revolucionarios de Soft Tissue Integration e Immediate Function que implican la   reposición de la pieza dentaria en el mismo procedimiento de instalación del implante optimizando tiempos y resultados, así como el establecimiento y mantenimiento   de larga duración de la salud y estética de los tejidos blandos.

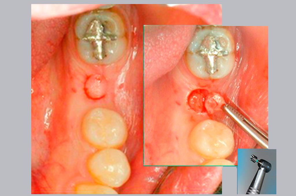
En este sentido nuestro consultorio desarrolla desde 1999 la técnica flapless prescindiendo del bisturí convencional y sin sutura, a través de una incisión circular de 5 mm de diámetro que garantiza un postoperatorio que pasa inadvertido y logra excelente resultado estético. 

La técnica quirúrgica flapless (sin solapa) posee varias ventajas comparada con los procedimientos quirúrgicos convencionales, que incluyen la apertura de una solapa (flap) antes de la inserción del implante. 

VENTAJAS DE LA CIRUGÌA FLAPLESS

  • sin sangrado intra- y post-operatorio,
  • menor duración de la cirugía,
  • menor uso de anestesia y fármacos post-operatorios,
  • mínima inflamación post-cirugía,
  • más rápida cicatrización, 
  • procedimiento quirúrgico pasa prácticamente desapercibido, 
  • mayor confort para el paciente.

*Haga click sobre las imágenes para ampliarlas.