Pasar al contenido principal
Skip to the home page
  • Staff
  • Institucional
    • Instalaciones
    • Tecnología
    • Trayectoria
    • Misión, Visión y Valores
    • Alineamiento Estratégico
  • Especialidades
    • Odontologia
    • Periodoncia
    • Estética
    • Implantología
    • Ortodoncia & Endodoncia
    • Medicina Periodontal
    • Control Periódico & Prevención
  • Servicios Especiales
  • Casos
  • Académico
    • Conferencias dictadas
    • Centro de Estudios
  • Blog
  • Ubicación
  • Contacto
  • Ingresar

Casos & Procedimientos

Bef&Aft-30A

Rehabilitación Implantoasistida - Flapless

Bef&Aft-30B

Rehabilitación Implantoasistida - Flapless

Bef&Aft-03A

Rehabilitación Implantoasistida - Flapless

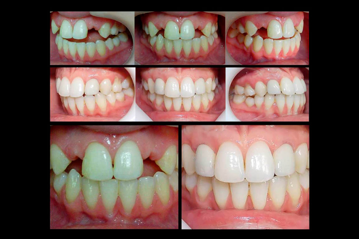
C&P-Bef&Aft-02A

Carillas Biomiméticas

C&P-Bef&Aft-02B

Carillas Biomiméticas

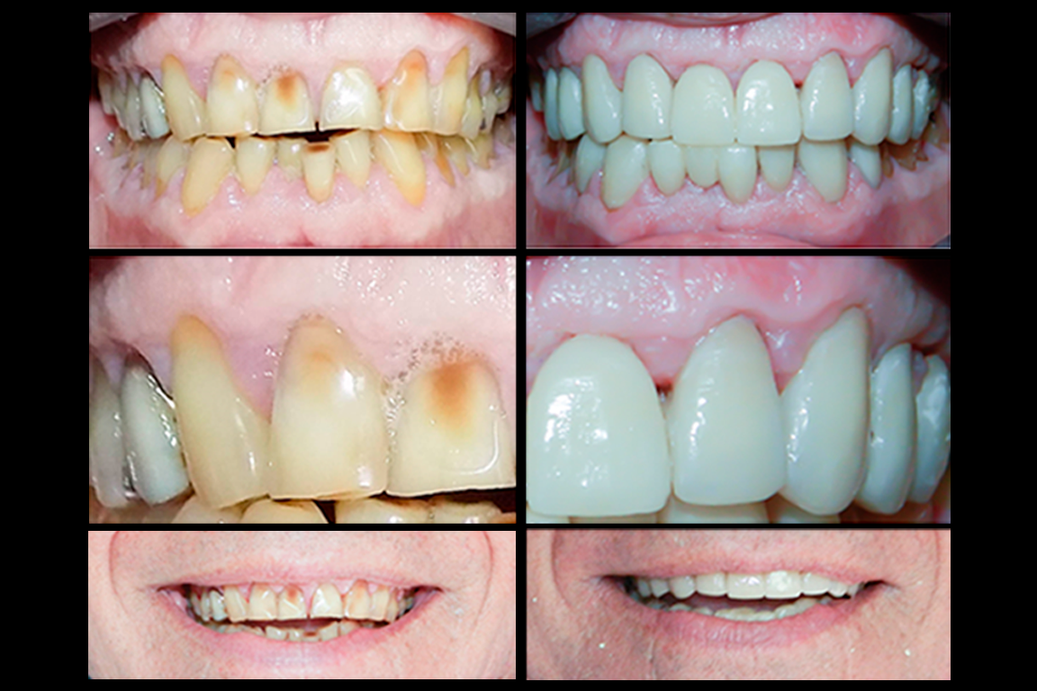
Bef&Aft-01A

Carillas Biomiméticas

Casos&Procedimientos-Bef&Aft-04A

Carillas Biomiméticas

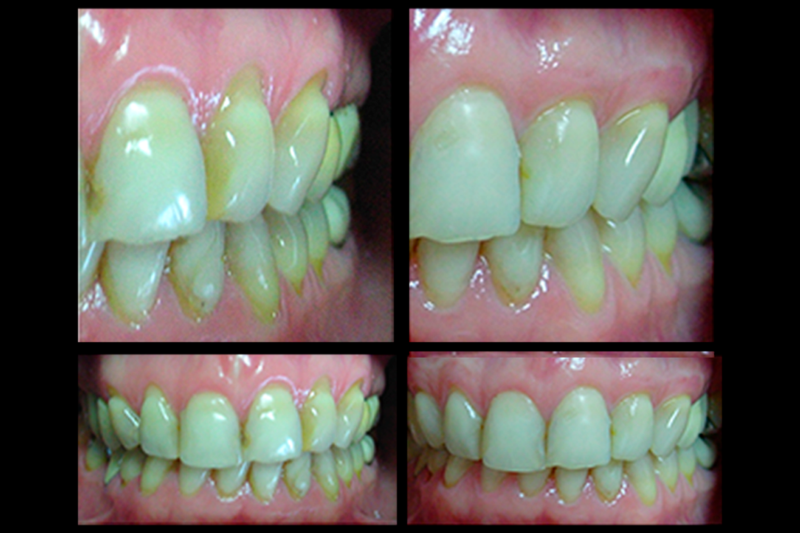
Bef&Aft-05A

Carillas Biomiméticas

Bef&Aft-05B

Carillas Biomiméticas

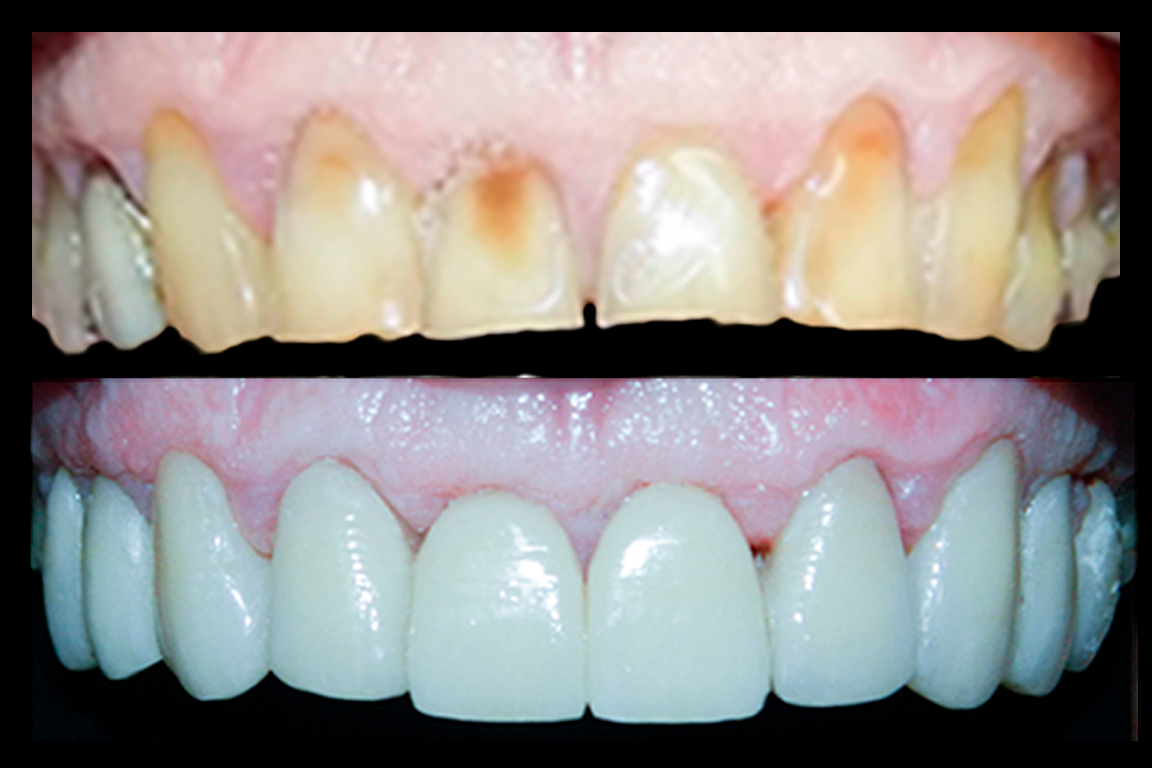
Bef&Aft-09A

Carillas Biomiméticas

Bef&Aft-09B

Carillas Biomiméticas

Bef&Aft-21A

Recesión gingival - Regeneración tisular

Bef&Aft-22A

Recesión gingival - Regeneración tisular

Consultorio Especializado en Periodoncia Estética & Implantología (CEPEI BY JGM)

Avda. 18 de Julio 878 apto. 601 - Montevideo Uruguay

Tel: +598 2900 2130

Email: info@consultoriogabitomira.com

Copyright © 2014-2021 JGM Todos los derechos reservados.